審美歯科について

審美歯科の中でも補綴矯正といわれる治療です。
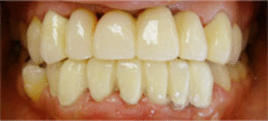
歯の表面を削って被せ物をして歯並びを治す方法です。3症例とも大体2〜3回の通院で終わった方々です。

患者様の声

審美歯科|患者様の声|船津歯科クリニック|佐賀

宮村様
高校生の頃に左上の2番目の歯をなくして、それ以来歯並びが気になっていました。
どういう治療が良いかもわからず、ずっとそのままにしていました。
通院時間は1時間くらいかかる所に住んでいますが、今回、ホームページを見て思い切って船津歯科を訪ねてみました。
本当に2回の治療で終わり、非常に満足しています。ありがとうございました。
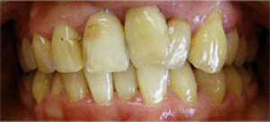
審美歯科|治療前|船津歯科クリニック|佐賀
治療前
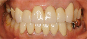
船津歯科クリニック|佐賀 審美歯科|治療後|船津歯科クリニック|佐賀
治療後

治療例

審美歯科|治療前|船津歯科クリニック|佐賀
治療前
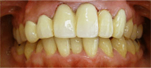
船津歯科クリニック|佐賀 審美歯科|治療後|船津歯科クリニック|佐賀
治療後
審美歯科|治療前|船津歯科クリニック|佐賀
治療前
船津歯科クリニック|佐賀 審美歯科|治療後|船津歯科クリニック|佐賀
治療後
審美歯科|治療前|船津歯科クリニック|佐賀
治療前
船津歯科クリニック|佐賀 審美歯科|治療後|船津歯科クリニック|佐賀
治療後

症例については、ブログでも紹介しています。
症例ブログはこちら>>

ホワイトニングについて

治療の終わった健康な歯をより白く美しくみせる事が出来ます。
当クリニックでは、オフィスホワイトニング、ホームホワイトニングの両方に対応しています。

  • オフィスホワイトニング・・・専用の機械を使って医院で行うホワイトニング
    結婚式など「この日までに白くしたい!」ご要望に応えられます。
  • ホームホワイトニング・・・マウスピースと薬剤を使ってご自宅で少しずつ数週間かけて行うホワイトニング「周囲に気づかれず少しずつ白くしたい」方にぴったりです。
審美歯科|ホワイトニング|施術前|船津歯科クリニック|佐賀 審美歯科|ホワイトニング|施術の様子|船津歯科クリニック|佐賀 審美歯科|ホワイトニング|施術後|船津歯科クリニック|佐賀
PAGE TOP