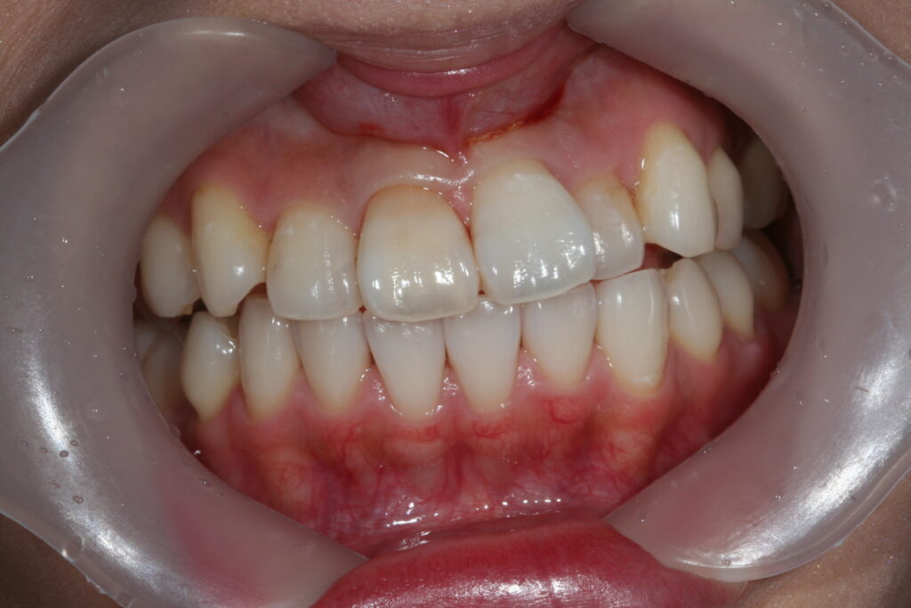
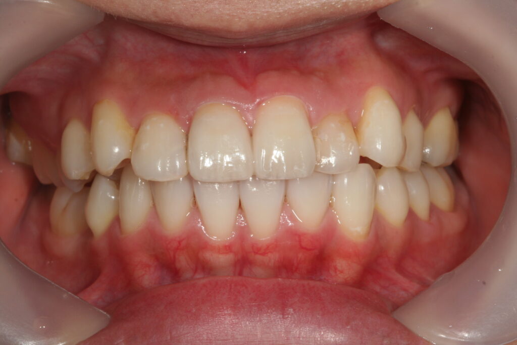
審美歯科 2015.03.18 院長ブログ 30歳手前の女性の方です。学生の頃から前歯2本が大きく、しかも少し斜めになっていたので見た目をずっと気にしておられました。審美歯科修復を施しました。 2回の治療で終了しました。 院長ブログ ブラックモンブラン前の記事 しあわせの逸食次の記事