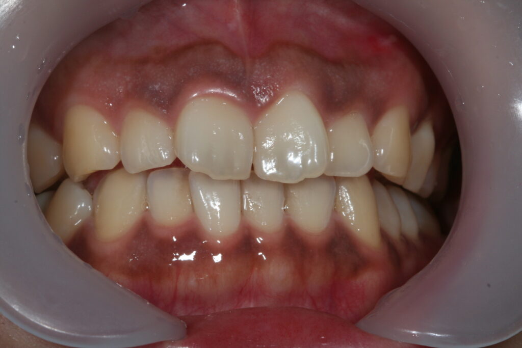
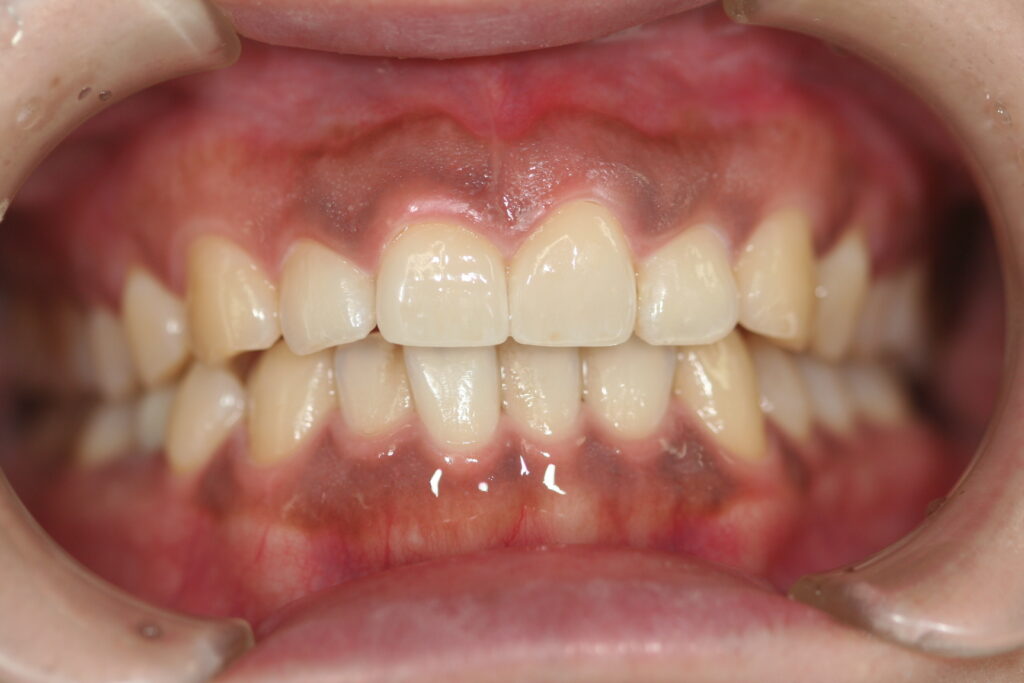
審美歯科

可愛くなりたい、とのことで当クリニックを来院されました。
当然、喋ったり特に笑ったりした時には前歯が見えますのでそれが若いころから気になっていたとのことでした。 そういう意味では歯も顔の一部ですから。
前歯2本の審美治療をしました。 本人も納得されて治療を終了しました。

院長ブログ|佐賀|船津歯科クリニック
院長ブログ|佐賀|船津歯科クリニック
院長ブログ|佐賀|船津歯科クリニック
院長ブログ|佐賀|船津歯科クリニック
PAGE TOP