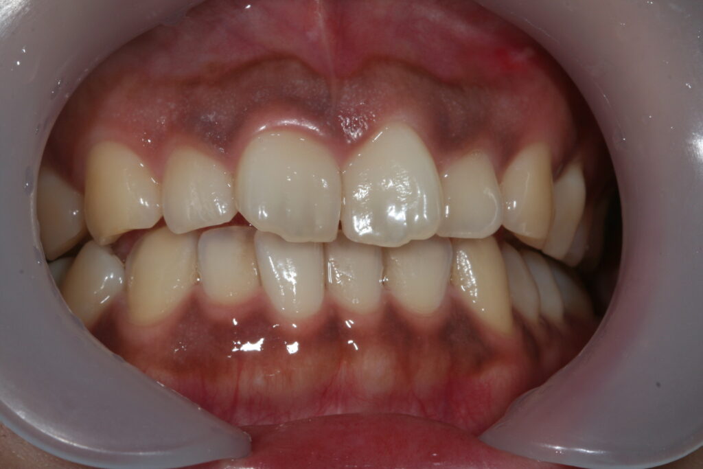
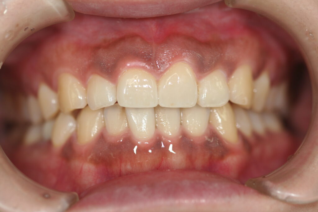
審美歯科

前歯2本が大きくて少し歪んでいるので若いころから悩んでいたとのことです。
前歯も顔の一部なので笑った時に可愛く見られたい、ということで審美治療をしました。
2回の通院で終了しました。 本人も満足して帰られました。
左が治療前、右が治療後です。

症例紹介|審美歯科|佐賀|船津歯科クリニック
症例紹介|審美歯科|佐賀|船津歯科クリニック

PAGE TOP