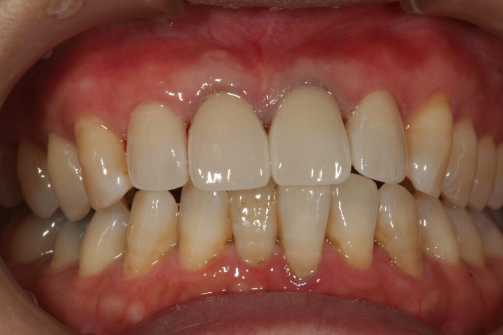
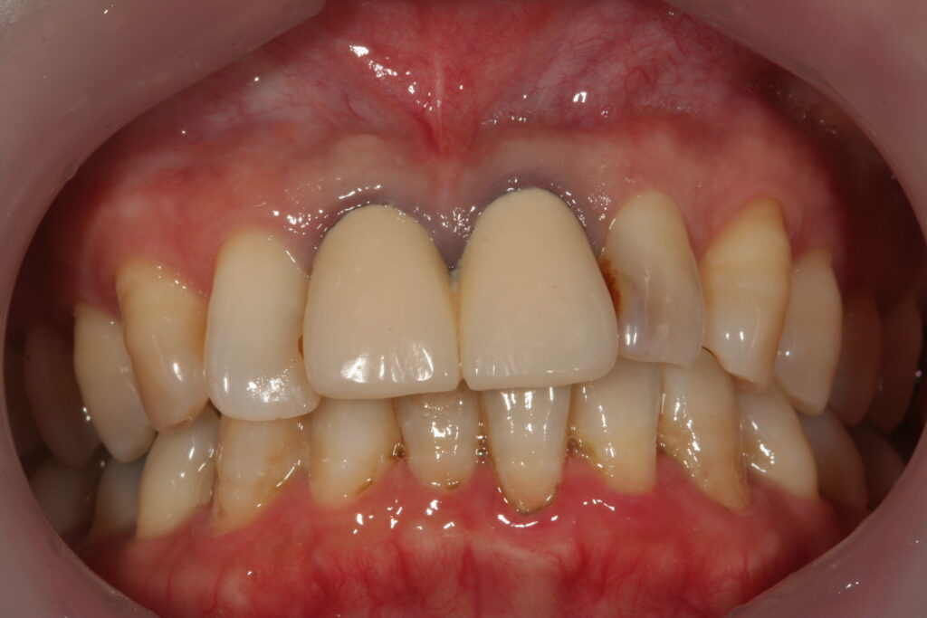
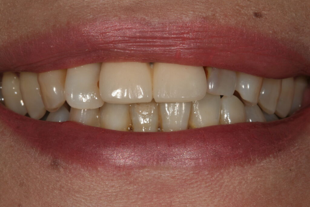
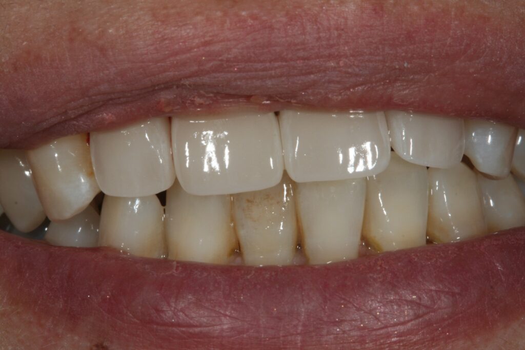
審美治療 2015.09.26 症例紹介 10年以上前から前歯の見かけが気になっておられました。1回目:カウンセリング2回目:治療、型取り、仮の歯3回目:取り付けて終了 でした。 症例紹介 都市伝説、、、、、前の記事 歯石とは?次の記事