審美

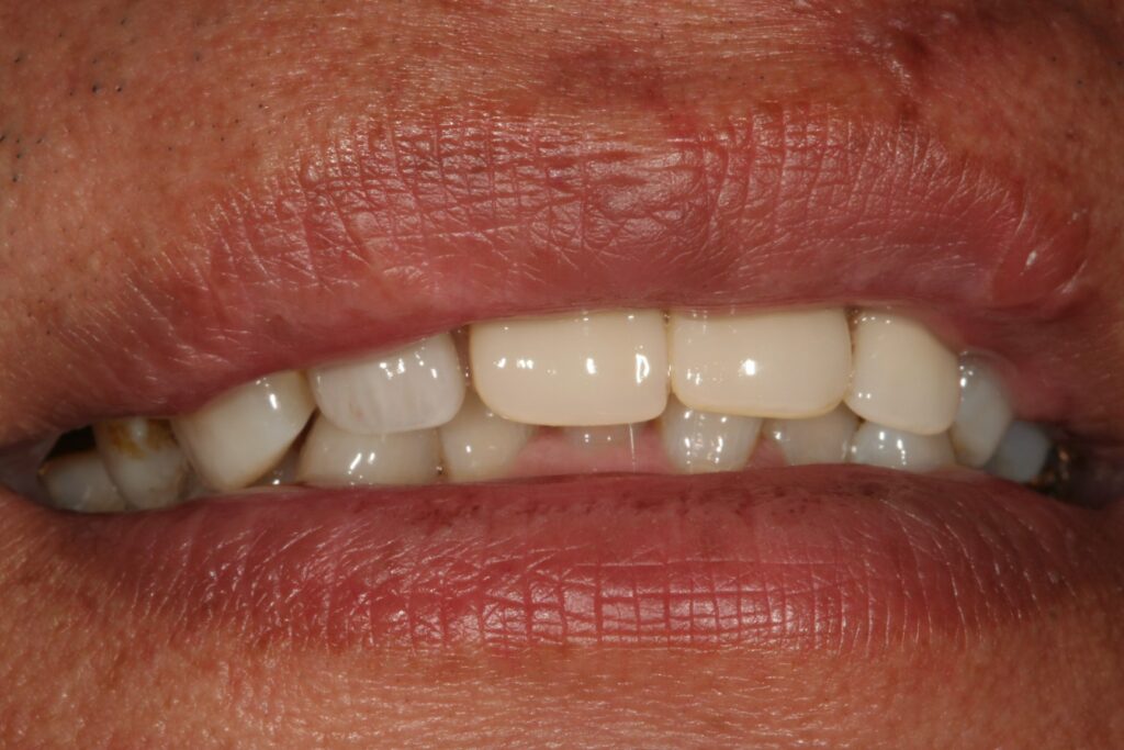
事故で前歯2本無くされ1本が折れていらっしゃいました。(写真1)
傷が落ち着くまで取り外しの入れ歯を装着。見かけも大事にしたい、ということで金属が見えない入れ歯をまず使っていただきました。(写真2,3)
その後固定式の被せ物に替えました。(写真4)

症例紹介|審美歯科|佐賀|船津歯科クリニック
症例紹介|審美歯科|佐賀|船津歯科クリニック
症例紹介|審美歯科|佐賀|船津歯科クリニック
症例紹介|審美歯科|佐賀|船津歯科クリニック

PAGE TOP