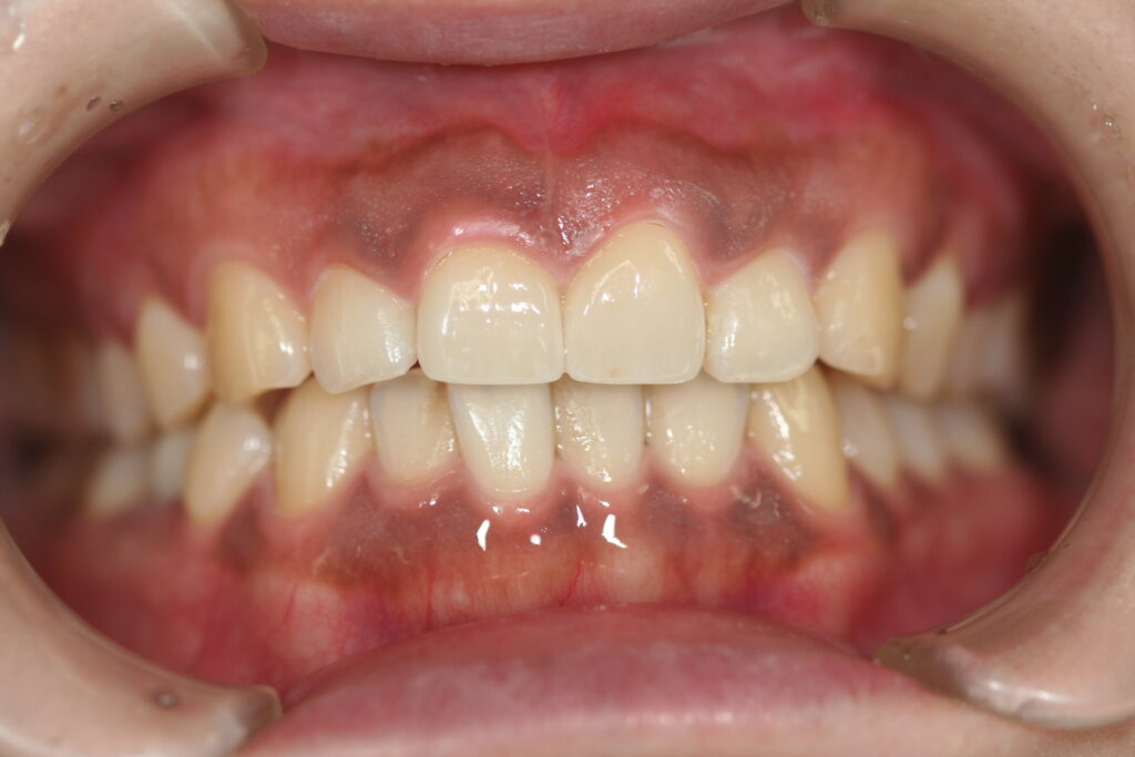
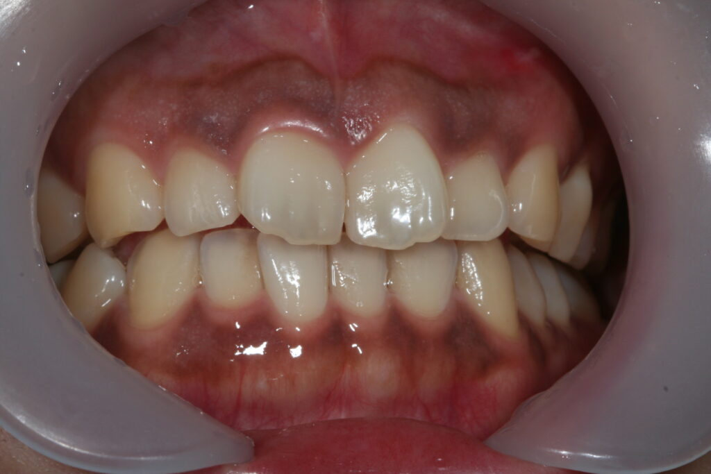
審美歯科 2016.03.1 症例紹介 30代女性の方です。若い頃から前歯2本の大きさと歯並びが気になっておられました。2回の通院治療で終了しました。 上の2枚が治療後で下の2枚が治療前です。 症例紹介 サラリーマン川柳前の記事 ikiikito次の記事