歯を削らない虫歯治療

症例紹介|虫歯治療|佐賀|船津歯科クリニック
症例紹介|虫歯治療|佐賀|船津歯科クリニック
症例紹介|虫歯治療|佐賀|船津歯科クリニック
症例紹介|虫歯治療|佐賀|船津歯科クリニック

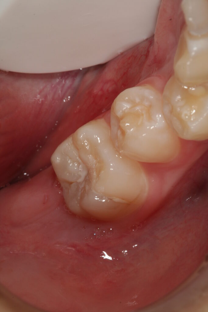
小学生の大人の歯の虫歯治療です。
噛み合わせの溝の部分が虫歯になっています。
まずレーザー治療器で虫歯の部分を殺菌します。
次にエアフローという専用の器械で、レーザーで殺菌された元々虫歯だった部分だけを吹き飛ばします。削る治療と違って健康な部分は一切手をつけません。
最後に白い詰め物をして治療は終わりです。

PAGE TOP