HOME
クリニックについて
診療方針
一般歯科
審美歯科
予防歯科
小児歯科
訪問歯科
インプラント
セラミック治療
設備紹介
求人情報
menu
ホーム
ブログ
症例紹介
審美歯科
審美歯科
2017.01.17
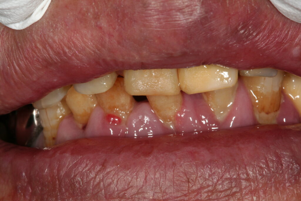
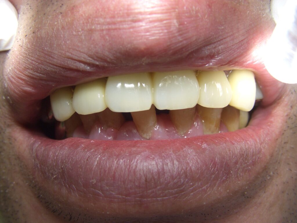
症例紹介
前歯の隙間と色が気になっておられました。
2回の治療で終わりました。
症例紹介
インフルエンザ予防
前の記事
往診 口腔ケア
次の記事
診療内容
一般歯科
審美歯科
予防歯科
小児歯科
訪問歯科
インプラント
セレック(セラミック治療)
Copyright © 2025 FUNATSU DENTAL CLINIC
PAGE TOP