審美歯科 前歯は顔の一部?

症例紹介|審美歯科|佐賀|船津歯科クリニック
症例紹介|審美歯科|佐賀|船津歯科クリニック

審美歯科の分類というわけではないですけれど、ここまでなると歯医者でなくともすぐに気が付きますね。
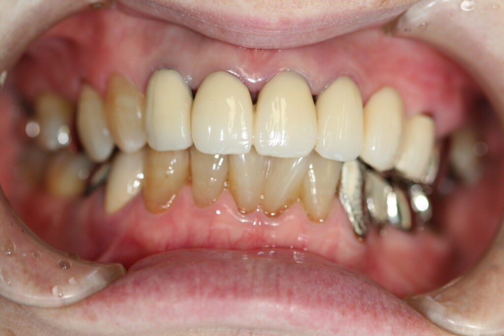
奥歯の虫歯で来院された方ですけど、前歯の見かけのことをお尋ねしたら食事には影響がないからさほど気にならないとのこと。
鏡を見るときに笑いながら身だしなみを整える方は少ないと思ますが、他人と話したりするときはおおよそ前歯も見られています。
説明をして被せモノをやりかえることになりました。
治療回数は2回です。

PAGE TOP