HOME
クリニックについて
診療方針
一般歯科
審美歯科
予防歯科
小児歯科
訪問歯科
インプラント
セラミック治療
設備紹介
求人情報
menu
ホーム
ブログ
症例紹介
審美
審美
2017.11.14
症例紹介
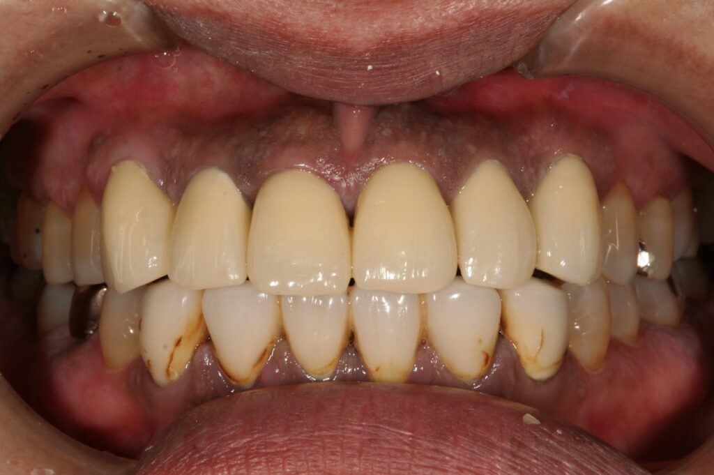
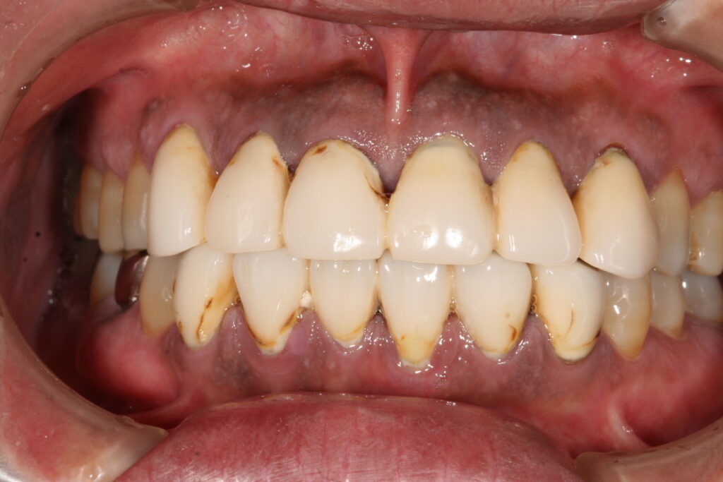
プラスチックで被せた前歯の変色が気になっておられました。
外してやり替えました。
治療回数は二回です。
症例紹介
市政功労賞
前の記事
クリスマス🎄
次の記事
診療内容
一般歯科
審美歯科
予防歯科
小児歯科
訪問歯科
インプラント
セレック(セラミック治療)
Copyright © 2025 FUNATSU DENTAL CLINIC
PAGE TOP