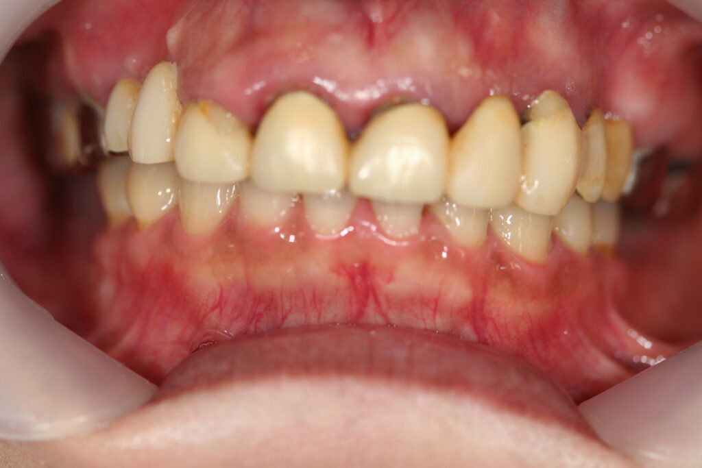
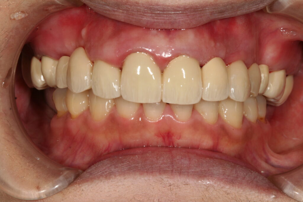
審美歯科 2017.11.24 症例紹介 プラスチックの被せ物の変色と形が気になっておられました。ジルコニア(人工ダイヤモンド)の被せ物に替えました。 色変わりは一生ありません。治療回数は二回です。 症例紹介 ラグビー前の記事 タンデックス次の記事