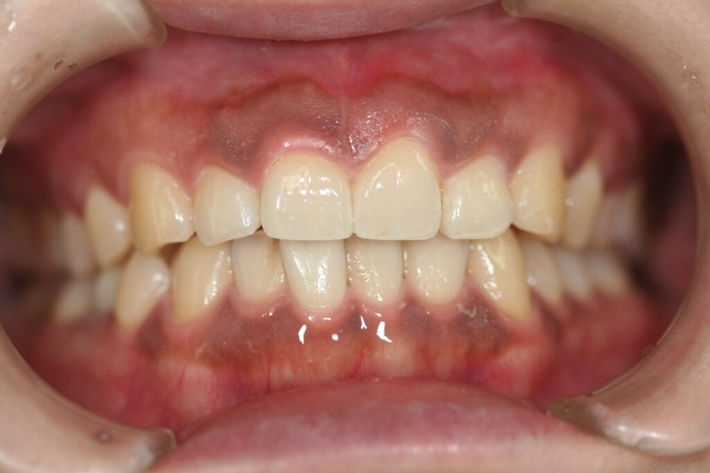
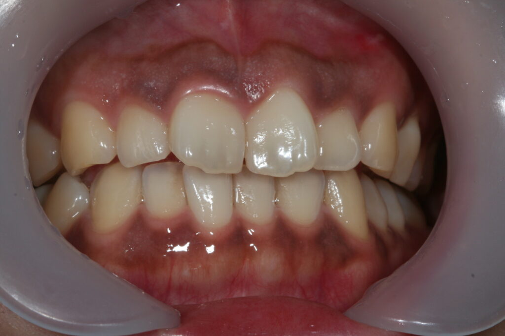
審美歯科 2018.02.20 症例紹介 27歳女性。前歯2本だけ大きいのと歪んでいるのが学生の頃から悩みだった、ということでセラミックで審美治療を行いました。非常に満足していただいています。治療回数は2回です。 症例紹介 雪前の記事 旬の食べ物次の記事