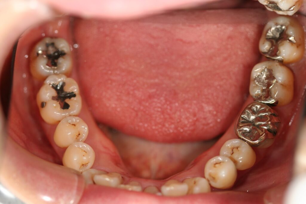
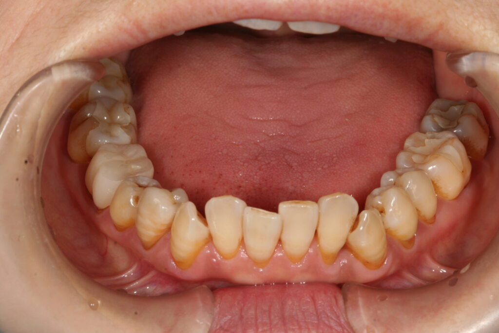
金属アレルギー 2018.03.29 症例紹介 50代女性将来的な金属アレルギーの心配で、銀歯を外してオールセラミックに替えられました。アレルギー症状はないが更年期障害みたいな体調の不良を最近感じてきたとのこと。金属を外してから身体が楽になってきたとおっしゃっていました。金属は微量ですがずっと溶け出していくので銀歯の数が多いほどアレルギーのリスクは高くなっていきます。 症例紹介 癒しのクラゲ?前の記事 ご褒美次の記事