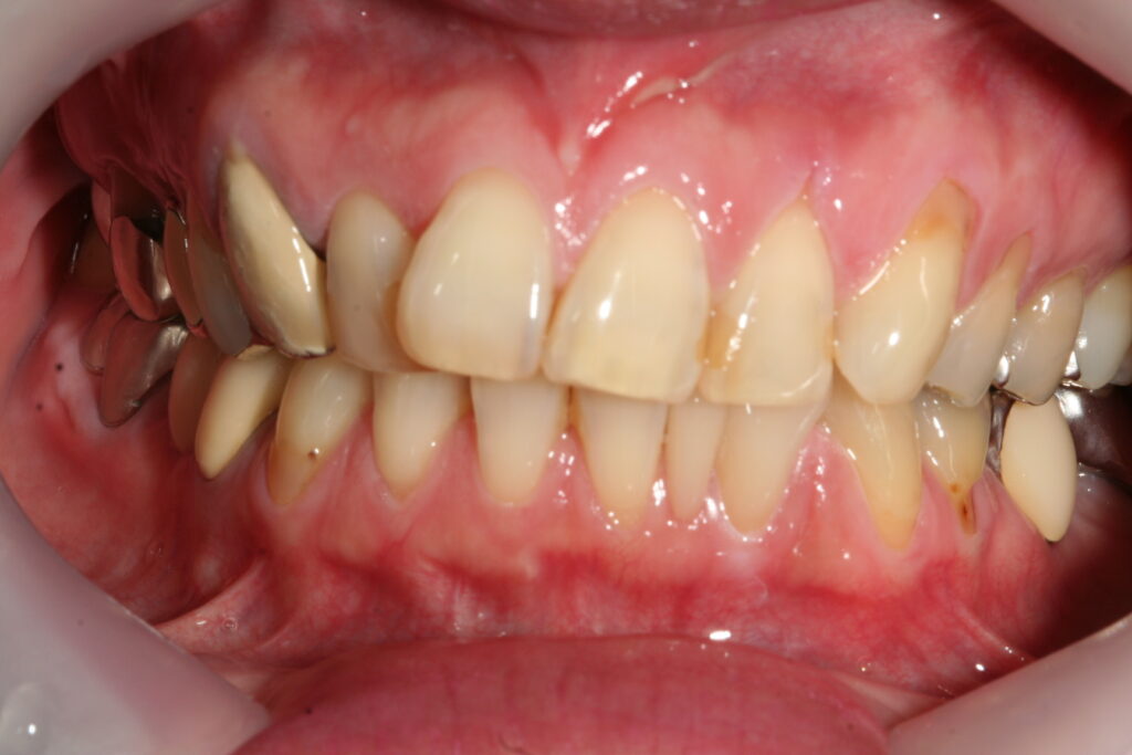
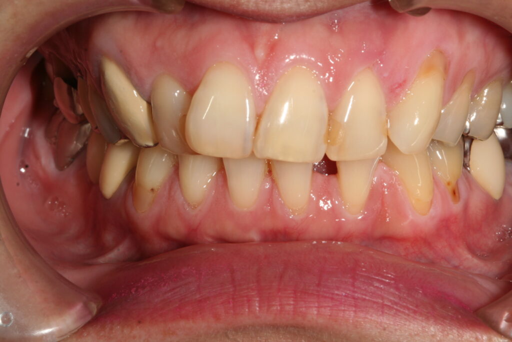
審美歯科 2018.07.24 症例紹介 45歳女性下の前歯の隙間が気になるということで来院。一本だけ治療し、ポーセレンラミネートべニアで審美治療を行いました。治療回数は2回です。 症例紹介 審美 歯科 佐賀前の記事 お盆の休診日次の記事