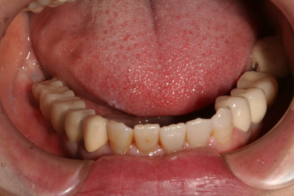
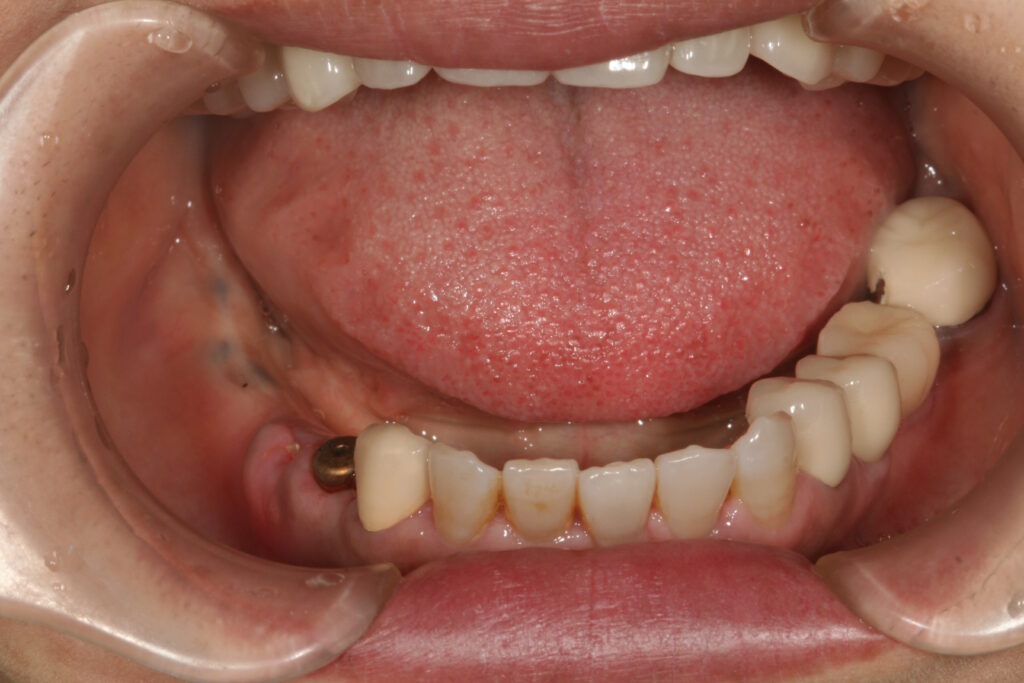
インプラント 小城 2016.04.11 症例紹介 至ってシンプルなインプラント症例です。右下奥歯が4本なくなったのでインプラントを埋入し、固定式の被せ物をしました。 症例紹介 インプラント 佐賀 小城前の記事 前歯を綺麗に 審美歯科 佐賀 小城次の記事