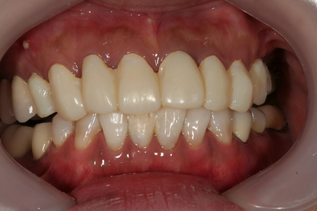
前歯を綺麗に 審美歯科 佐賀 小城 2016.05.13 症例紹介 結婚式があるので前歯のプラスチックの被せ物を綺麗にしたいということで来院されました。日にちがあまりない、ということで2回の通院で終了しました。 症例紹介 インプラント 小城前の記事 顎関節 日本初次の記事