前歯をきれいに

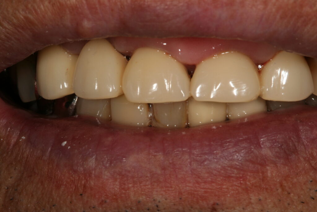
前歯のプラスチックのかぶせモノの色が黄色いので白くしたい、ということでやり変えました。
70歳過ぎてもお元気です。 下の歯も変えればもっときれいになろうかと思いますが、ご本人は上の方が目立つのでこれで十分だということでした。芸能人にもそういう方いらっしゃいますね。

二回の通院で終わりました。

症例紹介|ホワイトニング|佐賀|船津歯科クリニック
症例紹介|ホワイトニング|佐賀|船津歯科クリニック

PAGE TOP