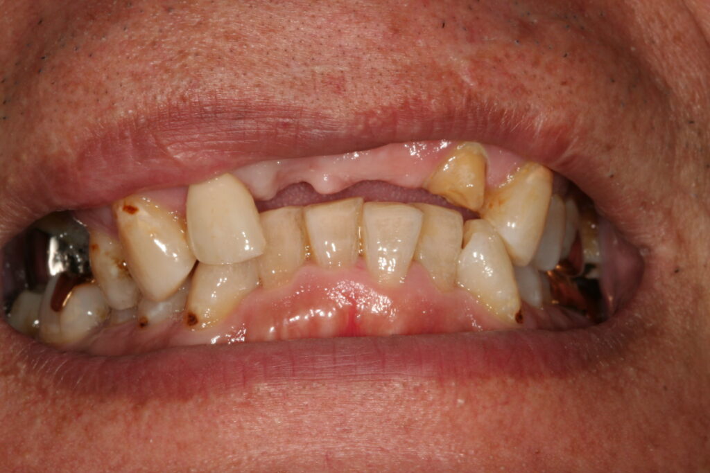
審美歯科 2016.12.19 症例紹介 前歯を事故で無くされ来院されました。(一枚目) 一回目の治療で型取りをして仮歯を入れました。(二枚目) 二回目の治療で被せ物をして治療が終わりました。(三枚目)診療回数は二回です。 症例紹介 Xmas*☆*前の記事 前歯をきれいに次の記事