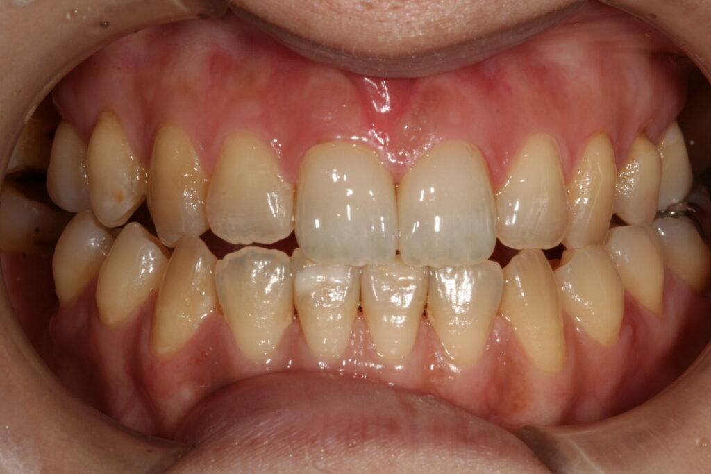
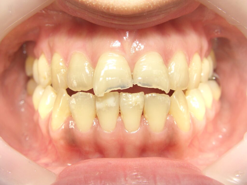
審美歯科 2017.02.21 症例紹介 30代女性前歯のすり減りが気になっておられました。ジルコニア(人工ダイヤモンド)セラミッククラウンで修復しました。治療回数は2回です。 症例紹介 ダラダラ食べ前の記事 審美歯科次の記事